
最終更新日:【PR】
この記事のポイント
- マウスピース矯正とワイヤー矯正どっちが良いの?
- 何を基準に選べば良いの?
- 費用はいくらかかるの?
- 矯正の期間はどれくらい?
- どこを選ぶのが正解?
こんな悩みを抱える人のために、2025年最新版のおすすめマウスピースを3つご紹介!

利用者302名に聞いた
リアルな声を徹底調査
※マウスピース矯正の満足度・期間・費用に関するユーザーアンケート
調査対象:20~50代男女の利用者/調査方法:インターネット調査




まるっと早見表
2025年最新
マウスピース矯正徹底比較
費用 | 月額1,925円(税込)~ | 月額約3,000円(税込)~ | 月額約3,100円(税込)~ |
---|---|---|---|
通院頻度 | 2~3ヶ月に1回 | 1〜2カ月に1回 | 1〜2カ月に1回 |
対応範囲 |
![]() |
![]() |
![]() |
矯正期間 | 約3カ月~1年 | 約3~12ヶ月 | 約2.5カ月~1年 |
追加料金 |
![]() |
![]() |
![]() ×来院回数 リテーナー代 22,000~66,000円 |
エリア |
北海道、宮城、東京、 埼玉、神奈川、千葉、 栃木、愛知、 長野、 岐阜、静岡、 大阪、京都、兵庫、 滋賀、岡山、広島、 山口、香川、愛媛、 高知、福岡、熊本 |
北海道、福島、東京都、 神奈川、埼玉県、 千葉、栃木、愛知、 岐阜、山梨、静岡、 京都、大阪、兵庫、 奈良、岡山、広島、 香川、高知、福岡、 大分、熊本、 鹿児島、沖縄 |
北海道、東京、 神奈川、千葉、 埼玉、新潟、宮城、 愛知、静岡、石川、 大阪、京都、兵庫、 福岡、熊本 |
おすすめ ポイント |
|
|
|
公式サイト |
ウィ・スマイル

プラン | 料金 | 動的治療期間 |
---|---|---|
1回お試しコース | 1,650円(税込) | |
8回コース | 月額1,925円(税込)~ | 1カ月半~2カ月 |
12回コース | 月額2,940円(税込)~ | 3~4カ月 |
18回コース | 月額4,310円(税込)~ | 4~6カ月 |
24回コース | 月額5,500円(税込)~ | 5~9カ月 |
30回コース | 月額7,340円(税込)~ | 10カ月以上 |
※保険適用外の自由診療です
※保定治療期間は含みません
北海道、宮城、東京、埼玉、神奈川、千葉、栃木、愛知、長野、岐阜、静岡、大阪、京都、兵庫、滋賀、岡山、広島、山口、香川、愛媛、高知、福岡、熊本
ウィ・スマイルは、マウスピース矯正を考えている患者さんと全国のクリニックをつないでくれる「ポータルサイト」です。
連携しているクリニックはどれも通過率5%の厳正な審査をクリアした一流のクリニックのみなので、品質やクオリティは問題なし!※
※事務局独自審査の通過率
プランも豊富で、全体矯正〜部分矯正まで幅広く自分にあった治療を選ぶことができます!
総勢50,000人を突破しており、まさに迷ったらここ!というサービスです。
- 毎月30名限定で1回お試し1,650円
※初回診断料は別途。あくまでも装着感を試すものです。
矯正治療効果はありません。 - 月額1,925円(税込)~始められる
- 提携クリニックの信頼度が高い
- 治療プランが豊富で幅広い症例に対応可能
- 初診料・調整料・保定料が0円
※初診料がかかる医院も一部あり
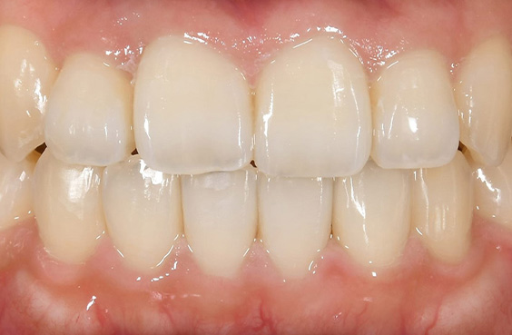
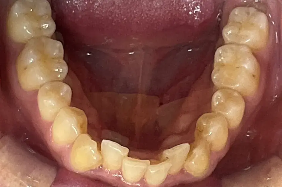
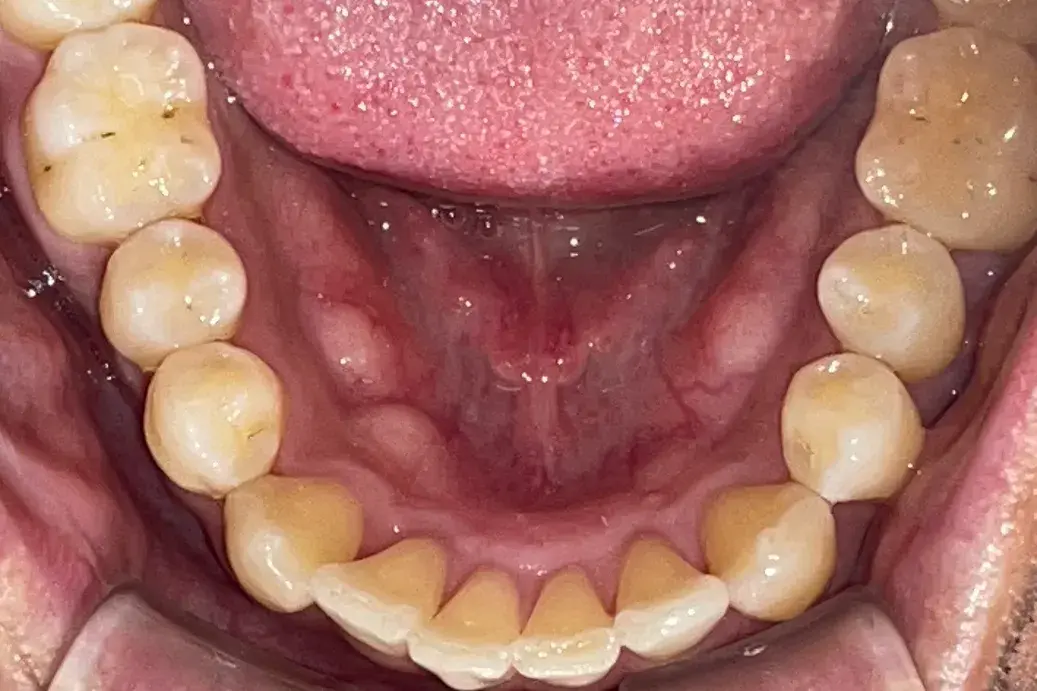
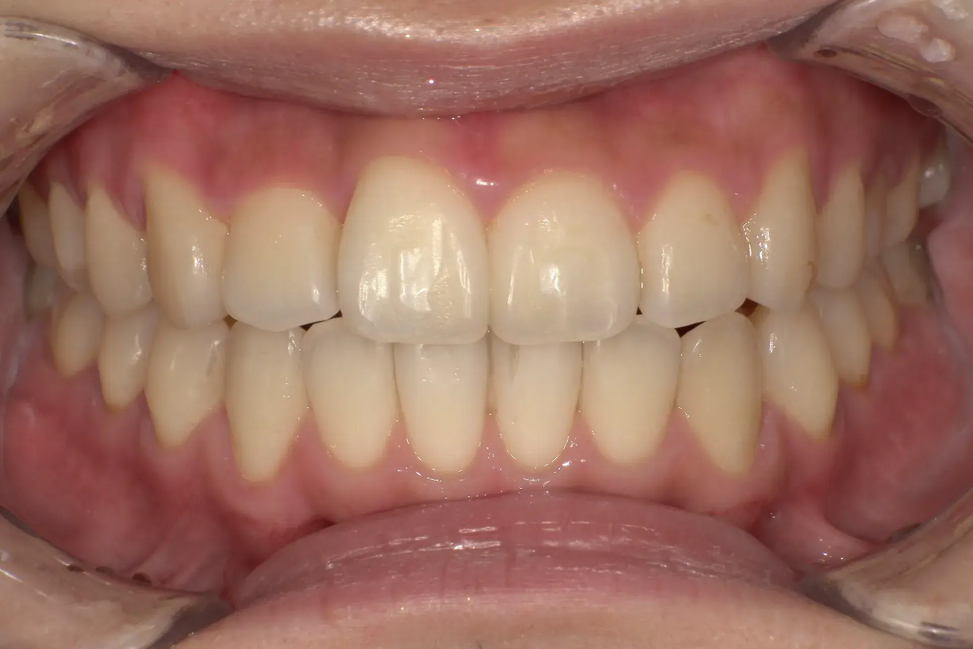
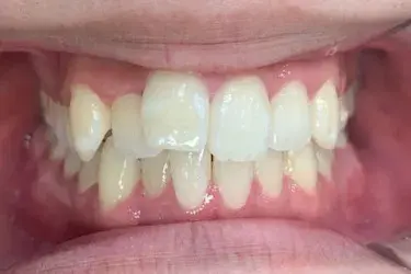
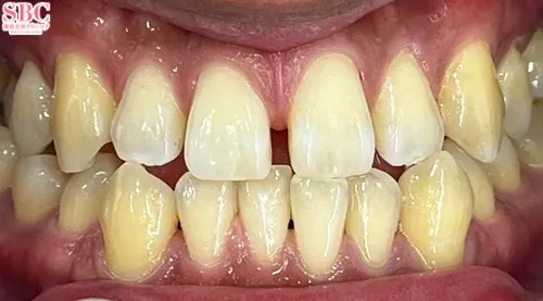
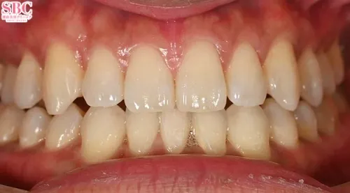
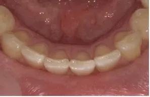
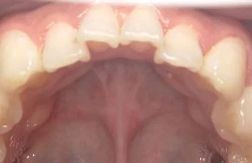
ウィ・スマイルの症例
- 症例1
- 症例2
- 症例3
- 症例4
- 症例5


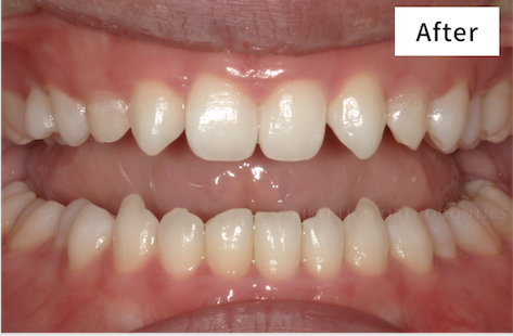
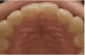
治療期間 4カ月
治療費 23.1万円(月額1,925円~)
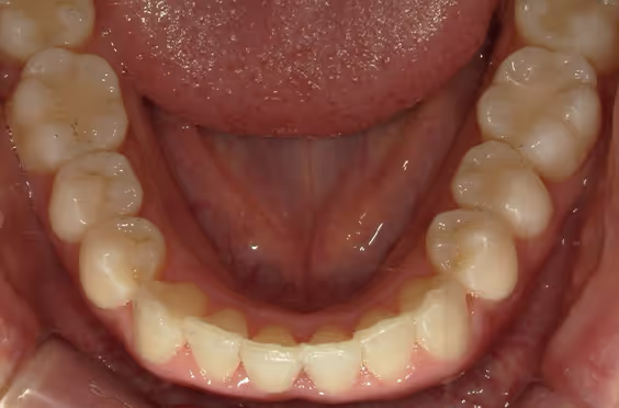
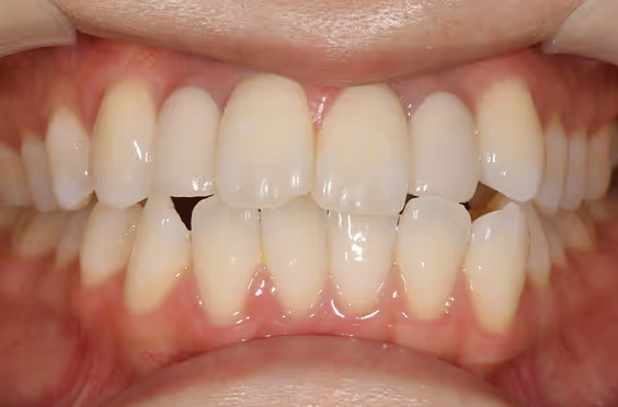
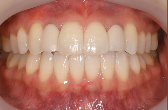
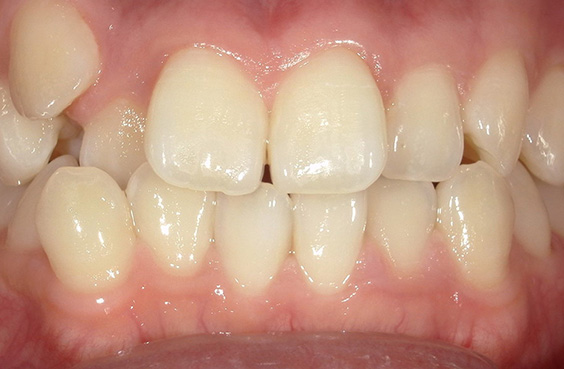
※上顎前歯部、下顎前歯部の叢生をマウスピース型矯正装置で改善したケース。矯正治療上のリスクとして、治療中の虫歯、歯根吸収、歯肉炎 ・歯周炎の発生などが考えられる。


治療期間 4カ月
治療費 23.1万円(月額1,925円~)
※上顎前歯部、下顎前歯部の叢生をマウスピース型矯正装置で改善したケース。矯正治療上のリスクとして、治療中の虫歯、歯根吸収、歯肉炎 ・歯周炎の発生などが考えられる。


治療期間 6カ月
治療費 51.7万円(月額4,310円~)
※上顎前歯部、下顎前歯部の叢生をマウスピース型矯正装置で改善したケース。矯正治療上のリスクとして、治療中の虫歯、歯根吸収、歯肉炎 ・歯周炎の発生などが考えられる。


治療期間 9カ月
治療費 66万円(月額5,500円~)
※上顎前歯部、下顎前歯部の叢生をマウスピース型矯正装置で改善したケース。矯正治療上のリスクとして、治療中の虫歯、歯根吸収、歯肉炎 ・歯周炎の発生などが考えられる。


治療期間 11カ月
治療費 88万円(月額7,340円~)
※上顎前歯部、下顎前歯部の叢生をマウスピース型矯正装置で改善したケース。矯正治療上のリスクとして、治療中の虫歯、歯根吸収、歯肉炎 ・歯周炎の発生などが考えられる。
※治療効果や期間には個人差があります
治療までの流れ
- ①WEBでお近くの提携クリニックを予約
- ②初回カウンセリング
※初診料や初回実施事項は医院により異なります - ③1人1人にあったマウスピースを作成
- ④治療スタート

Sさん (24歳・女性)
総合評価 :4.5 ★★★★☆
私はすきっ歯がずっと気になってて、でもガチなワイヤー矯正は絶対イヤで…。WeSmileは通院も月1〜2回だし、仕事帰りでも全然いけて助かってます。

タケシタさん (29歳・男性)
総合評価 :5.0 ★★★★★
僕が行った医院は初診が無料でした。最初の診断が本当に丁寧で、「これなら無理なく通えそうだな」と思えたのが決め手。正直、もっと早く始めればよかったです。
スマイルモア矯正

プラン | 料金 | 治療期間 |
---|---|---|
軽度 | 月額約3,000円~ | 約3~12ヶ月 |
中度 | 月額約4,400円~ | |
重度 | 月額約5,700円~ |
※保険適用外の自由診療です
※症状やご希望の治療内容によっては、この範囲を超える費用が発生する場合がございます
※治療効果や治療期間には個人差があります
北海道、福島県、東京都、神奈川県、埼玉県、千葉県、栃木県、愛知県、岐阜県、山梨県、静岡県、京都府、大阪府、兵庫県、奈良県、岡山県、広島県、香川県、高知県、福岡県、大分県、熊本県、鹿児島県、沖縄県
スマイルモア矯正は手頃な価格でマウスピース矯正が受けられるサービスです。
リーズナブルな価格でも、歯科医師や歯科衛生士に直接相談できるため、矯正中のトラブルを最小限に抑えることができます。
また、世界シェアNo.1、No.2のメーカーや実績のある国産メーカーの高品質なマウスピースを使用しているため安全な治療を受けられます!
信頼できるクリニックのみと提携しているので、価格を抑えて矯正を始めたい方におすすめです◎
- 手頃な価格でマウスピース矯正ができる
- 初回のカウンセリングを無料で受けれる
- 矯正中でも歯科医師や衛生士に相談できる
- 提携クリニックが全国各地にあり通いやすい
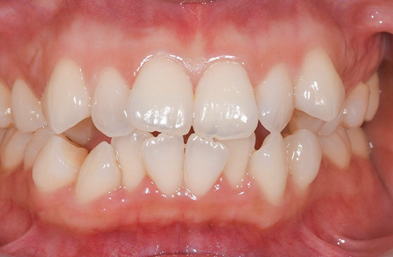
スマイルモア矯正の症例
- 症例1
- 症例2
- 症例3
- 症例4
- 症例5


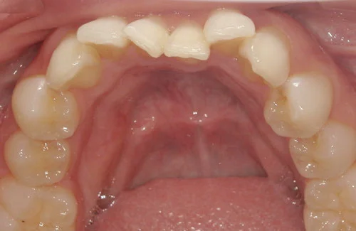
費用 396,000円(税込)
治療期間 6ヶ月
治療内容 マウスピースを用いた歯列矯正
追加処置 IPR
※保険適用外の自由診療となります。
※効果や感じ方には個人差があります。
※マウスピース矯正の主なリスク:
虫歯・歯周病・ブラックトライアングル・歯根吸収・歯肉退縮・1日20時間以上のマウスピース装着が必須・マウスピースにより痛みを感じる可能性・治療中に一時的にかみ合わせに不具合をきたす可能性・リテーナーを最低1年間は1日20時間以上装着、その後徐々に着用時間を減らし、2年目以降は夜間のみの着用推奨。


費用 396,000円(税込)
治療期間 10ヶ月
治療内容 マウスピースを用いた歯列矯正
追加処置 IPR
※保険適用外の自由診療となります。
※効果や感じ方には個人差があります。
※マウスピース矯正の主なリスク:
虫歯・歯周病・ブラックトライアングル・歯根吸収・歯肉退縮・1日20時間以上のマウスピース装着が必須・マウスピースにより痛みを感じる可能性・治療中に一時的にかみ合わせに不具合をきたす可能性・リテーナーを最低1年間は1日20時間以上装着、その後徐々に着用時間を減らし、2年目以降は夜間のみの着用推奨。


費用 396,000円(税込)
治療期間 1年1ヶ月
治療内容 マウスピースを用いた歯列矯正
追加処置 IPR
※保険適用外の自由診療となります。
※効果や感じ方には個人差があります。
※マウスピース矯正の主なリスク:
虫歯・歯周病・ブラックトライアングル・歯根吸収・歯肉退縮・1日20時間以上のマウスピース装着が必須・マウスピースにより痛みを感じる可能性・治療中に一時的にかみ合わせに不具合をきたす可能性・リテーナーを最低1年間は1日20時間以上装着、その後徐々に着用時間を減らし、2年目以降は夜間のみの着用推奨。


費用 396,000円(税込)
治療期間 11ヶ月
治療内容 マウスピースを用いた歯列矯正
追加処置 IPR
※保険適用外の自由診療となります。
※効果や感じ方には個人差があります。
※マウスピース矯正の主なリスク:
虫歯・歯周病・ブラックトライアングル・歯根吸収・歯肉退縮・1日20時間以上のマウスピース装着が必須・マウスピースにより痛みを感じる可能性・治療中に一時的にかみ合わせに不具合をきたす可能性・リテーナーを最低1年間は1日20時間以上装着、その後徐々に着用時間を減らし、2年目以降は夜間のみの着用推奨。


費用 396,000円(税込)
治療期間 6ヶ月
治療内容 マウスピースを用いた歯列矯正
追加処置 IPR
※保険適用外の自由診療となります。
※効果や感じ方には個人差があります。
※マウスピース矯正の主なリスク:
虫歯・歯周病・ブラックトライアングル・歯根吸収・歯肉退縮・1日20時間以上のマウスピース装着が必須・マウスピースにより痛みを感じる可能性・治療中に一時的にかみ合わせに不具合をきたす可能性・リテーナーを最低1年間は1日20時間以上装着、その後徐々に着用時間を減らし、2年目以降は夜間のみの着用推奨。
※治療効果や期間には個人差があります
治療までの流れ
- ①WEBでクリニックを予約
- ②初回カウンセリング
- ③オリジナルマウスピースを作成
- ④治療スタート

Yさん (25歳・女性)
総合評価 :5.0 ★★★★★
前歯のすきっ歯がずっと気になっていて、矯正を始めました。
マウスピースも目立たないし、痛みも付けたて以外は少なく快適でした。
カウンセリングも丁寧で、安心して始められました!

Bさん (31歳・男性)
総合評価 :4.5 ★★★★☆
出っ歯がコンプレックスで、人と話すのが苦手でしたが、スマイルモアで矯正して本当に良かったです。
費用も抑えられたし、仕事中でも周りに気づかれずに治療できました。
もっと早く始めればよかったと心から思います!
キレイライン

プラン | 料金 | 治療期間 |
---|---|---|
1回ごと都度払い | 44,000円(税込) | |
5回コース | 月額約3,100円~ | 2.5カ月~4カ月 |
10回コース | 5か月~6カ月 | |
15回コース | 4~6カ月 | |
18回コース | 7カ月~ |
※保険適用外の自由診療です
※上記に記載している費用以外に、初回検診料3,300円〜、
およびリテーナー費用22,000円~66,000円(上下)が別途発生します。
北海道、東京、神奈川、千葉、埼玉、新潟、宮城、愛知、静岡、石川、大阪、京都、兵庫、福岡、熊本
キレイラインは「スピーディー×リーズナブル」に矯正を行えます!
約70万円~120万円がマウスピース矯正の相場ですが、キレイラインは19.8万円~46.2万円とかなりリーズナブル!
治療期間も最短2.5カ月でサクッと治療できます!
部分矯正に力を入れているので、「前歯だけ整えたい」
「すきっ歯を治したい」ような人は特におすすめ!
※治療期間には個人差があります。
※5回コース、追加治療なしで治療した場合の最短治療期間です(保定治療期間は含みません)。
※キレイライン矯正の目安費用は19.8万円~46.2万円です。別途、初回検診料、再診料、リテーナー費⽤がかかります。
- 全国125院以上と提携しているので通いやすい
- ホワイトニングも同時に行える
- リーズナブルかつスピーディー
- 都度払いもできるので治療の進行に合わせて必要な分だけ払える
※ホワイトニング剤最低1本が料金に含まれています。
※アタッチメント(追加治療)との併用はできません。ホワイトニング剤の使用タイミングは歯科医師までご相談ください。
キレイラインの症例
- 症例1
- 症例2
- 症例3
- 症例4
- 症例5


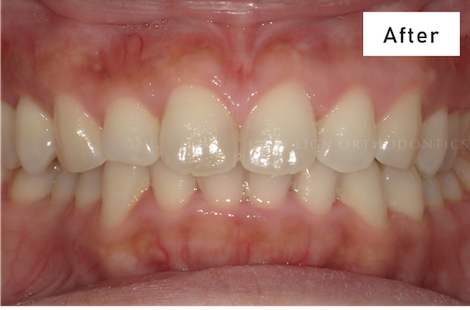
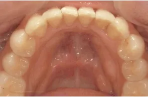
治療期間 約8カ月
治療費 23.1万円(税込)


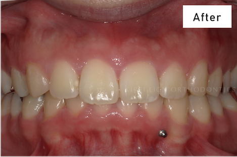
治療期間 9カ月
治療費 31.9万円(税込)


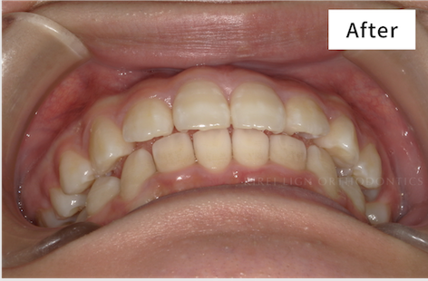
治療期間 6カ月
治療費 51.7万円(月額4,310円~)


治療期間 約1年
治療費 29万円(税込)


治療期間 1年4カ月
治療費 46万円(税込)
※治療効果や期間には個人差があります
治療までの流れ
- ①WEBでお近くの提携クリニックを予約
- ②初回カウンセリング
- ③オリジナルマウスピースを作成
- ④治療スタート
- ⑤4~8週間ごとに来院し経過観察

NMさん (23歳・女性)
総合評価 :4.5 ★★★★☆
就活を意識し始めたときに、「やっぱ前歯、ちょっと気になるかも」って思い始めて。
歯列矯正って何十万もするし自分には無理だと思ってたんですけど、キレイラインは5回コースで20万円弱だったので、「これならバイト代でいける…!」って決断しました。

よしださん (30歳・男性)
総合評価 :5.0 ★★★★★
ワイヤー矯正はさすがに見た目的に無理なので、キレイラインにしました。
正直、最初の1〜2日は少しキツかったです。でも透明だし、人にも気づかれなかったのがありがたかったですね。
あと、ホワイトニング剤がついてきたのも地味に得した気分。
湘南歯科クリニック

プラン | 料金 | 治療期間 |
---|---|---|
湘南マウスピース |
モニター価格: 198,000円(税込) 定価: 248,000円(税込) |
約3カ月~ 6カ月 |
クリアコレクト MINI |
モニター価格: 238,000円(税込) 定価: 253,000円(税込) |
約3カ月~ 6カ月 |
インビザラインGo |
モニター価格: 335,000円(税込) 定価: 355,500円(税込) キャンペーンモニター 価格(※7月末まで) 片顎20枚: 223,200円(税込) 両顎20枚: 298,000円(税込) |
約3カ月~ 6カ月 |
インビザライン モデレート |
モニター価格: 498,000円(税込) 定価: 528,000円(税込) キャンペーンモニター 価格(※7月末まで) 片顎26枚: 480,000円(税込) |
約8カ月~ 10カ月 |
インビザライン フル 抜歯なし |
モニター価格: 693,000円(税込) 定価: 713,000円(税込) キャンペーンモニター 価格(※7月末まで) 無制限 抜歯なし: 668,000円(税込) 名古屋院限定 無制限 抜歯なし: 648,000円(税込) |
約1.5年~ 2.5年 |
インビザライン フル 抜歯あり |
モニター価格: 923,000円(税込) 定価: 953,500円(税込) |
約1.5年~ 2.5年 |
※保険適用外の自由診療です
宮城、東京、埼玉、神奈川、千葉、愛知、大阪、福岡
湘南歯科クリニックは主要都市を中心に展開しているクリニックです。
軽度~重度まで幅広くプランを用意しており、分割払いでは月額3,000円~治療を受けることができます。
また2025年7月末まで、モニターになれば3~5万円安く治療を受けることができるキャンペーン実施中です!
歯並びの改善だけでなく、「口元の突出感」「顔回りのもたつき」などの改善も加味したメニューを提案してくれます。
累計症例数も16,000件(※20219年〜2024年12月累計マウスピース矯正症例数)を越えており、安心の実績があります。
- モニターになれば3~5万円安く治療を受けることができる(2025年7月末まで)
- ホワイトニングも同時に行える
- 軽度~重度まで幅広い症例に対応
- 顔のバランスを加味した治療プランを提案してくれる
※治療効果や期間には個人差があります
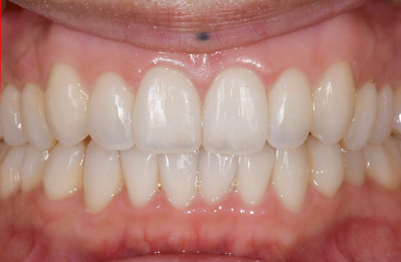
湘南歯科クリニックの症例
- 症例1
- 症例2
- 症例3
- 症例4
- 症例5


施術名:マウスピース矯正
プラン:湘南マウスピース
施術の説明:ご自身の歯の形に合わせてオーダーメイドの目立たないマウスピースを制作し、歯を移動させることで徐々に歯並びを改善させる治療法です。
施術の副作用(リスク):疼痛・咬合時痛が生じる可能性があります。また使用途中でマウスピースが緩んだり、外れやすくなるほか、割れたり壊れたりすることがあります。
施術の価格: 208,000円~953,000円


施術名:マウスピース矯正
プラン:クリアコレクトMINI
施術の説明:ご自身の歯の形に合わせてオーダーメイドの目立たないマウスピースを制作し、歯を移動させることで徐々に歯並びを改善させる治療法です。
施術の副作用(リスク):疼痛・咬合時痛が生じる可能性があります。また使用途中でマウスピースが緩んだり、外れやすくなるほか、割れたり壊れたりすることがあります。
施術の価格: 208,000円~953,000円


施術名:マウスピース矯正
プラン:インビザラインGo
施術の説明:ご自身の歯の形に合わせてオーダーメイドの目立たないマウスピースを制作し、歯を移動させることで徐々に歯並びを改善させる治療法です。
施術の副作用(リスク):疼痛・咬合時痛が生じる可能性があります。また使用途中でマウスピースが緩んだり、外れやすくなるほか、割れたり壊れたりすることがあります。
施術の価格: 208,000円~953,000円


施術名:マウスピース矯正
プラン:インビザラインモデレート
施術の説明:ご自身の歯の形に合わせてオーダーメイドの目立たないマウスピースを制作し、歯を移動させることで徐々に歯並びを改善させる治療法です。
施術の副作用(リスク):疼痛・咬合時痛が生じる可能性があります。また使用途中でマウスピースが緩んだり、外れやすくなるほか、割れたり壊れたりすることがあります。
施術の価格: 208,000円~953,000円


施術名:マウスピース矯正
プラン:インビザラインフル抜歯なし
施術の説明:ご自身の歯の形に合わせてオーダーメイドの目立たないマウスピースを制作し、歯を移動させることで徐々に歯並びを改善させる治療法です。
施術の副作用(リスク):疼痛・咬合時痛が生じる可能性があります。また使用途中でマウスピースが緩んだり、外れやすくなるほか、割れたり壊れたりすることがあります。
施術の価格: 208,000円~953,000円
※治療効果や期間には個人差があります
治療までの流れ
- ①WEBでお近くの提携クリニックを予約
- ②初回カウンセリング
- ③オリジナルマウスピースを作成
- ④治療スタート
- ⑤4~8週間ごとに来院し経過観察

ちなつさん (41歳・女性)
総合評価 :5.0 ★★★★★
40代からでも矯正していいのかな…って少し不安だったんですけど、カウンセリングで「年齢は関係ありませんよ」って優しく言っていただけて。
マウスピースは慣れるまでちょっと喋りにくかったけど、2週間くらいでほぼ違和感なし。
月1回くらいの通院だったし、通いやすい立地だったのも良かったです。

Sさん (28歳・男性)
総合評価 :4.5 ★★★★☆
湘南歯科はインビザラインの実績がすごく多いって聞いて、それが一番安心感ありました。
全体矯正で1年以上かかりましたが、通院のペースもゆったりで、毎回の説明や進捗も丁寧だったので納得です。
ルーチェマウスピース矯正歯科

プラン | 料金 | 治療期間 |
---|---|---|
アーリープラン (8枚コース) |
月額3,300円~ | 約3カ月半~4カ月 |
ライトプラン (14枚コース) |
月額4,950円~ | 約4カ月半~6カ月 |
モデレートプラン (26枚コース) |
月額6,600円~ | 約6カ月半~9カ月 |
Full Ⅰプラン | 月額8,800円~ | 約9カ月~1年3カ月 |
※保険適用外の自由診療です
東京(表参道)
ルーチェマウスピース矯正歯科は東京の表参道にある、マウスピース矯正専門の医院です。
特に矯正技術に優れており、歯科矯正医師の最高認定ランクである「レッドダイヤモンド」を4年連続受賞しています。
マウスピース設計の際に各分野のスペシャリストによる厳正なトリプルチェックが行われ、とても丁寧な治療を受けることができます。
対応している症例の範囲も広く、「他院では治療不可とされたケース」でも対応できる可能性があります。
- マウスピース矯正に特化した専門クリニック
- 公式ラインがあり気軽に相談できる
- 歯科矯正医師の最高認定ランク「レッドダイヤモンド」4年連続受賞
- 表参道駅近くの閑静なエリア
ルーチェマウスピース矯正歯科の症例
- 症例1
- 症例2
- 症例3
- 症例4
- 症例5


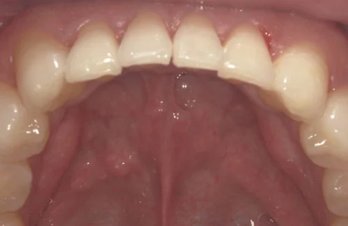
治療期間 約3カ月
プラン アーリープラン(8枚コース)
治療費 33万円(税込)


治療期間 約6カ月
プラン ライトプラン(14枚コース)
治療費44万円(税込)


治療期間 約6カ月
プラン ライトプラン(14枚コース)
治療費44万円(税込)


治療期間 約9カ月
プラン モデレートプラン(26枚コース)
治療費55万円(税込)


治療期間 約12カ月
プラン Full Ⅰプラン
治療費77万円(税込)
※治療効果や期間には個人差があります
治療までの流れ
- ①WEBでクリニックを予約
- ②初回カウンセリング(3Dスキャン、CT、レントゲンなど)
- ③治療計画の確認
- ④インビザラインマウスピースの作成
- ⑤治療スタート
- ⑥4~8週間ごとに来院し経過観察
〒107-0062 東京都港区南青山5丁目5番4号 ルーチェ南青山 A棟B1F
TEL:03-6427-4688
mail:info@mp-clinic.co.jp

佐々木さん (26歳・女性)
総合評価 :5.0 ★★★★★
他の歯科で「抜歯+手術が必要」と言われて諦めかけてましたが、ルーチェでは「マウスピースでも対応可能です」と即答。正直びっくりしました。

田辺さん (35歳・男性)
総合評価 :5.0 ★★★★★
重度の出っ歯で2件に断られ、「もう無理か」と思ってました。
ルーチェで診てもらったら「大丈夫ですよ」と即答されて、本当にホッとしました。
マウスピースでもここまで動くんだ…と驚いてます。通って正解でした。
どっちがおすすめ?
マウスピース
ワイヤー矯正

マウスピース矯正は、透明で目立ちにくく取り外しも可能なため、日常生活への支障がワイヤー矯正に比べてかなり少ないです。
「矯正はしたいけど矯正している期間の見た目が気になる」という方は特にマウスピース矯正がおすすめです!
以下におすすめのマウスピース矯正を掲載しているので、是非参考にしてみてください!
絶対に失敗しない
マウスピース矯正を選ぶための3つのポイント
①歯並びのレベルにあったサービスを選ぶ
ケチって短くて安いプランにすると思ったより改善されず満足いく結果が得られない可能性があります。
未来の自分への投資だと思って、惜しまず自分に合ったプランを選ぶようにしましょう。
②通いやすいエリアにあるか
矯正治療は定期的に通う必要があるため、通いやすい立地にあるクリニックを選ぶことは重要です。
自宅や職場からのアクセスが良い場所にあるクリニックであれば、通院の負担が軽減されます。
治療を続けやすくするためにも、通いやすいエリアにあるからは大切なポイントです。
この記事で紹介した「ウィ・スマイル」と「キレイライン」は提携している医院数が多く、審査を通過した品質が高い医院がそろっているので是非チェックしてみてください!
③症例実績の多いブランドを選ぶ
症例数が多いブランドは、それだけ多くの患者を診てきた実績とノウハウがあります。
特にマウスピース矯正は、同じように見えても「噛み合わせ」「歯の動き方」「治療計画」などに高度な技術が求められるため、経験豊富なブランドの方が安心です。
また、実績豊富なブランドはトラブル時の対応やサポート体制も整っていることが多く、治療中に不安なことがあっても相談しやすいのがメリットです。
本記事で紹介したブランドはどれも実績豊富なブランドで、安心して治療を受けることができます。
よくある質問
マウスピース矯正前に知っておくべき
リスクはありますか?
はい、いくつかのリスクがあります。
代表的なものは以下の通りです。
- 痛みや違和感:装着初期に痛みや口内炎、発音のしづらさを感じることがありますが、多くは慣れます。
- むし歯・歯周病のリスク増加:マウスピース装着時間が長いため、口腔ケアが不十分だと悪化する可能性があります。
- 抜歯や麻酔の影響:治療に抜歯が必要な場合、麻酔による体調変化や腫れなどが起こることがあります。
- 治療後の後戻り:歯並びが元に戻るリスクもあるため、保定装置の使用が必要です。
- 治療の効果:1日20時間以上はマウスピースの装着が必須で、守らないと治療の効果が出にくくなります。
治療前にこれらの点をしっかり確認し、納得したうえで始めることが大切です。
マウスピース矯正は痛いですか?
歯が動くに伴いむず痒いような痛みが生じることがありますが、ワイヤー矯正と比べると痛みは少なく、ほとんどの方が問題なく治療を進められます。
虫歯があっても矯正できますか?
虫歯があってもマウスピース矯正は可能です。
部分矯正と全体矯正の違いは何ですか?
部分矯正は主に前歯(2~8本程度)だけを動かして整える矯正治療。全体矯正は奥歯を含む全体を動かして嚙み合わせまで整える矯正治療です。
部分矯正のデメリットは?
主に前歯だけを動かして治療するので、噛み合わせの調整はできず、歯を動かせる距離や方向にも制限があります。
部分矯正に向いている人は?
前歯のちょっとしたガタつきを治したい、すきっ歯や軽い出っ歯を治したい、奥歯のかみ合わせは問題ない、など比較的症状が軽い人におすすめです。
部分矯正と全体矯正
どちらにするか迷っています…
見た目は「前歯のズレだけ」と感じていても、実は奥歯の噛み合わせや顎のバランスにも影響しているケースは少なくありません。
逆に、気になっていたズレが意外と軽度で、部分矯正だけで十分対応できることもあります。
そのため、自己判断ではなく矯正に詳しい歯科医師によるカウンセリング・診断を受けることが非常に大切です。
マウスピース矯正は保険がききますか?
マウスピース矯正は原則保険適用外です。
保険が適用されるのは病気や怪我などの治療に限られており、歯列矯正のように審美的な目的でおこなう治療は自由診療にあたり、原則保険は適用されません。
リテーナーってなんですか?
歯列矯正治療後に、歯並びが元の位置に戻るのを防ぐために使用する装置のことです。
一般的には矯正期間と同じかそれ以上使います。
まだ迷っている方へ

「比較しても決めきれない…」
そんな方は WeSmile(ウィスマイル)がおすすめ!

WeSmileのここがおすすめ



治療までの流れ




この記事で紹介したブランド